
2019年11月2日Nat Cell Biol雜志在線發表了題為“Mitochondria-localised ZNFX1 functions as a dsRNA sensor to initiate antiviral responses through MAVS”的文章,該文章由中山大學生命科學學院徐安龍教授團隊完成,其中RNA-seq部分由百邁客協助完成,詳細情況如下:
英文題目:Mitochondria-localised ZNFX1 functions as a dsRNA sensor to initiate antiviral responses through MAVS
中文題目:線粒體定位的ZNFX1充當dsRNA傳感器通過MAVS啟動抗病毒反應
發表雜志:Nature Cell Biology,2019
影響因子:17.728
合作單位:中山大學生命科學學院
小編悄悄告訴您,近期百邁客醫學的高分合作文章不少,趁著年前陸續解讀給各位fans,咱們也看看人家是如何設計文章思路的。
研究背景
過去的二十年的研究表明,屬于解旋酶超家族2(SF2)的DExD/H-bo解旋酶在抗病毒先天免疫中起著至關重要的作用。但是,與SF2共享一個保守的解旋酶核心(兩個串聯的RecA域組成,具有ATPase活性和RNA結合能力)的解旋酶SF1的抗病毒功能鮮為人知。
病毒衍生的核酸與胞質病毒傳感器結合后,可以募集兩個配體MAVS和STING來誘導I型干擾素(IFN)的產生以及許多具有抗病毒活性的干擾素刺激基因( Interferon Stimulated Genes,ISG)。這些ISGs在多種抗病毒免疫水平上發揮著多種功能,比如ISGs可抑制特定的病毒生命周期階段,此外,某些ISGs還可以增強先天病原體的識別能力或積極調節IFN信號傳導。
研究目的:
確定很少研究的解旋酶SF1的抗病毒功能并鑒定更多ISGs。
研究方法
已發表數據重新挖掘:水皰性口炎病毒(VSV)感染的人單核細胞衍生巨噬細胞(MDM)的IVT-SAPAS(in vitro transcription-sequencing alternative polyadenylation sites)時間梯度數據,篩選新的可能基因–包含ZNFX1。
關鍵基因抗病毒作用驗證:1)敲減關鍵基因表達,VSV-eGFP感染檢測這些基因的抗病毒活性–初步證實ZNFX1參與抗病毒反應;2)qRT-PCR或免疫印跡分析VSV感染或干擾素誘導劑聚肌胞苷酸(poly(I:C))刺激各細胞系或小鼠后組織中ZNFX1表達改變;3)病毒感染公共數據挖掘,感染后ZNFX1表達上調;
ZNFX1為干擾素刺激基因ISG驗證:人重組IFN-α和IFN-β孵育實驗、JAK1抑制劑魯索替尼(ruxolitinib)、Ifnar1敲除后qRT-PCR和免疫印跡分析ZNFX1表達水平;轉錄因子預測及轉錄因子motif缺失和WT報告基因試驗證實其病毒感染后的上調取決于JAK1-STAT1級聯反應。
體外和在體實驗證明ZNFX1抗RNA病毒天然免疫調控作用:A549、L929細胞、293T細胞、小鼠等siRNA沉默或Crispr-cas9敲除VSV感染實驗,ZNFX1過表達和對照組A549細胞轉錄組測序分析其影響的信號通路。
ZNFX1與IFN信號傳導:ZNFX1過表達質粒和Ifnb1-reporter或IFN刺激的應答元件(ISRE)報告質粒瞬時轉染A549細胞進行螢光素酶報告基因分析,然后進行或不進行VSV感染,等實驗證實ZNFX1通過誘導I型IFN的產生而參與抗病毒免疫反應,其抗病毒特性也取決于IFN信號傳導。
ZNFX1與病毒RNA結合:pulldown實驗和RIP-seq等;
ZNFX1線粒體定位以及互作的IFN產生相關adaptor分析:不同組分分離WB、顯微共聚焦實驗、Co-IP實驗、線粒體組分分離及蛋白酶保護測定等;poly(I:C)處理與否的Rig-I-/-A549細胞RNA-seq,空載EV、ZNFX1過表達、EV+poly(I:C)、ZNFX1+poly(I:C),共計4組;等
研究結果
1、病毒感染誘導ZNFX1表達
作者首先分析了他們先前發表的被水皰性口炎病毒(VSV)感染的單核細胞衍生巨噬細胞(MDM)的IVT-SAPAS(in vitro transcription-sequencing alternative polyadenylation sites)數據,并發現了許多表達改變的基因。【之前已發表文章的數據重新挖掘】通過比較受VSV感染的人MDM數據和小鼠腹膜巨噬細胞數據,發現了一些共同的基因,它們被上調了三倍以上,包括FFAR2,ZEB2,TIPAP,PTGS2,CMPK2,ZNFX1和CSRNP1。隨后敲除A549細胞中的這些基因,用VSV-eGFP(VSV-增強型綠色熒光蛋白)感染細胞,流式細胞術檢測GFP陽性細胞的百分比表明,敲減ZNFX1(其抗病毒作用尚未見報道)促進了VSV感染。

補充圖1
研究表明,屬于RNA解旋酶SF2的DExD/H-box RNA解旋酶在抗病毒免疫反應中起著多種作用。ZNFX1是RNA解旋酶SF1的代表,它包含一個ARM(Armadillo-type fold)域、一個P環解旋酶域和一個鋅指(ZF)域。因為來自解旋酶SF1和SF2的基因共享一個保守的核心結構,以兩個串聯的RecA域為特征,所以作者認為SF1也可能在抗病毒免疫中發揮重要作用。
為驗證假設,作者使用IVT-SAPAS數據分析了SF1和SF2的基因表達譜,發現這兩個亞家族中的許多基因在VSV感染后表達都有變化(圖1a)。流式細胞儀分析結果表明,敲低A549細胞中的MOV10、HELZ2、UPF1和ZNFX1導致VSV復制明顯增強,而敲除SEXT引起相反的結果。MOV10、UPF1和SEXT以前被報道與抗病毒免疫有關,驗證了基于RNAi和病毒感染的篩選方法有效,并暗示ZNFX1可能是未發現的抗病毒分子。
為了更深入地了解ZNFX1在抗病毒應答中的作用,進行了qRT-PCR或免疫印跡分析,以了解VSV感染或干擾素誘導劑聚肌胞苷酸(poly(I:C))刺激A549細胞、外周血單個核細胞(PBMC)或小鼠胚胎成纖維細胞(MEF)細胞后ZNFX1的表達上調(圖1b–d)。qRT-PCR也證實了靜脈注射VSV后小鼠脾臟和肺中Znfx1的豐度上調(包括胸腺、淋巴結脾臟和肺)(圖1e)。作者還對先前收集的芯片數據集(GDS4231/4214/1271/3210/6082/6063)進行了統計分析,發現與健康對照相比,在HIV感染患者和猿猴免疫缺陷病毒(SIV)引起的腦炎猴子中,Znfx1的RNA水平明顯更高(圖1f,g)。此外,在不同的細胞類型(包括巨噬細胞、樹突狀細胞和上皮細胞)中感染病毒后,Znfx1的轉錄顯著增加。這些數據都表明ZNFX1可能是抗病毒分子。

圖1_上
2、ZNFX1是干擾素刺激基因ISG
由于病毒感染導致ZNFX1的mRNA和蛋白質水平表達均增強,接下來通過將A549細胞與人重組IFN-α和IFN-β一起孵育來檢測ZNFX1是否為ISG。qRT-PCR和免疫印跡分析的結果表明ZNFX1的表達可以被IFN-α和IFN-β誘導(圖1h,i)。相比之下,JAK1抑制劑魯索替尼(ruxolitinib)可以抑制VSV對Znfx1 mRNA的誘導,并且在Ifnar1-/-A549細胞中幾乎消失(圖1j,k)。

圖1_下
為了確定哪些核苷酸和區域Znfx1轉錄中很重要,使用promoter 2.0( http://www.cbs.dtu.dk/services/promoter/)、JASPAR(http://jaspar.genereg.net/)和CpGplot(http://www.ebi.ac.uk/Tools/seqstats/emboss_cpgplot/)進行識別,其中包含TATA框、GC框和CAAT框的Znfx1的-1,064~+63之間的區域,是啟動子。對轉錄因子結合位點的進一步分析表明,Znfx1的啟動子在相對集中和重疊的區域中包含STAT1、STAT2、IRF1和IRF9結合基序。基于這些分析,構建了一個Znfx1啟動子報告基因載體,包含?1,064~+63之間的區域,以及一個突變的報告基因構建體,其中缺失了STAT1、STAT2、IRF1和IRF9結合motif。接下來,STAT1,STAT2,IRF1或IRF9過表達質粒和2個報告基因載體轉染293T細胞,報告基因分析表明,在STAT1、STAT2、IRF1或IRF9存在的情況下,報告基因的表達可以由Znfx1啟動子誘導,而不能由缺少轉錄因子結合位點的啟動子載體誘導(圖1l)。總而言之,ZNFX1是一個ISG,其病毒感染后的上調取決于JAK1-STAT1級聯反應。

3、ZNFX1對于抗RNA病毒天然免疫至關重要
為了進一步探討ZNFX1在抗病毒免疫反應中的作用,作者沉默了A549和L929細胞中ZNFX1的內源性表達,用VSV-eGFP感染,并進行流式細胞儀分析。結果表明,Znfx1的敲低顯著增強了A549和L929細胞中的VSV復制(圖2a)。同時,在Znfx1沉默細胞中觀察到更高的VSV滴度和增加的VSV-G蛋白(圖2b,c)。一致地,在VSV感染或poly(I:C)刺激后,敲低Znfx1表達可顯著降低A549細胞中IFN-α和IFN-β蛋白的產生。相反,當ZNFX1過表達時,在A549細胞中觀察到了較低的VSV mRNA和VSV滴度。
為了獲得ZNFX1在抗病毒反應中的更多功能證據,采CRISPR介導的基因組編輯方法敲除293T和A549細胞中的Znfx1。同樣發現293T和A549細胞中敲除Znfx1增強了VSV復制(圖2d)。同時,在野生型或Znfx1-/-A549細胞中ZNFX1的過表達限制了VSV復制(圖2e)。進一步的RNA-seq分析比較了野生型對照和ZNFX1過表達的A549細胞之間差異表達基因,結果顯示參與病毒復制和I型IFN信號轉導負調控的上調基因顯著富集(圖2f)。有趣的是,在腦心肌炎病毒EMCV和甲型流感病毒(H1N1)感染的Znfx1敲低的A549細胞中,病毒mRNA水平升高,但在單純皰疹病毒1型(HSV-1)感染后并未顯著改變,表明ZNFX1具有廣泛的抗RNA病毒譜 。

圖2_上
為了研究ZNFX1在體內的生理作用,使用CRISPR/Cas系統生成了Znfx1-/-C57BL/6J小鼠。Znfx1-/-小鼠存活,沒有明顯的生理或行為異常。在這項研究中使用了六至八周大的小鼠。首先,分離野生型和Znfx1-/-小鼠的BMDM并用VSV、EMCV、H1N1或HSV-1感染,與野生型相比,Znfx1-/-BMDM的IFN-α或IFN-β分泌較低。RNA病毒感染后,包括VSV、EMCV和H1N1,但不包括HSV-1(圖2g),Znfx1-/-BMDM中檢測到較高的病毒mRNA水平,但在HSV-1感染的細胞中未檢測到較高的病毒mRNA水平(圖2h)。與野生型相比,Znfx1-/- MEF和A549細胞在RNA病毒感染VSV和EMCV后表現出較低的IFN-β分泌(圖2i,j)。

圖2_下
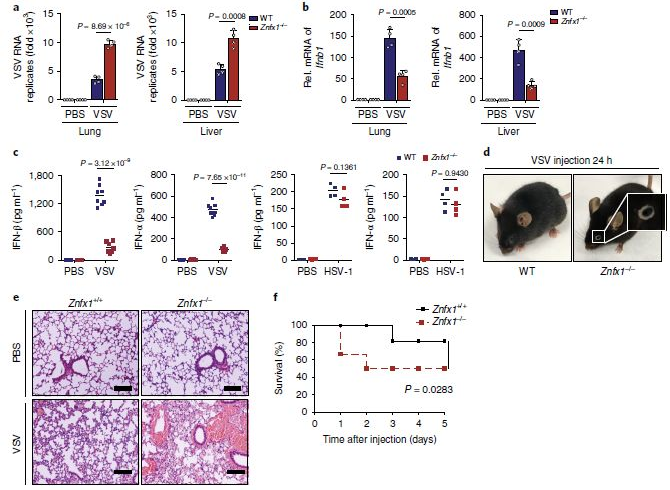
ZNFX1在宿主體內對抗病毒感染的防御中的重要性:通過尾靜脈向野生型和Znfx1-/-小鼠注射了VSV。與野生型小鼠相比,Znfx1-/-小鼠的肺和肝中的VSV復制增強了(圖3a),隨著肺和肝中Ifnb1表達的減少,在Znfx1-/-小鼠中血清中IFN-α和IFN-β的分泌降低(圖3b,c)。而HSV-1感染后,Znfx1-/-和野生型小鼠之間血清中的IFN-α和IFN-β沒有差異(圖3c)。有趣的是,VSV感染一天后,Znfx1-/-小鼠中有80%患有結膜炎,這是VSV感染的早期癥狀(圖3d)。另外,觀察到VSV感染后炎性細胞更多地滲透到Znfx1-/-小鼠的肺中(圖3e),并且Znfx1-/-小鼠在存活試驗中對VSV感染的抵抗力較弱(圖3f)。這些數據表明,Znfx1缺乏后體內產生較少的I型IFN,削弱了針對RNA病毒感染的先天免疫反應。總之,ZNFX1專門針對RNA病毒發揮其抗病毒特性。

圖3
4、ZNFX1啟動基于IFN的抗病毒反應
為了研究ZNFX1在IFN信號傳導中的作用,通過ZNFX1過表達質粒和Ifnb1-reporter或IFN刺激的應答元件(ISRE)報告質粒瞬時轉染A549細胞進行螢光素酶報告基因分析,然后進行或不進行VSV感染。結果表明,ZNFX1的過表達輕微激活了Ifnb1啟動子和ISRE報告基因(圖4a)。此外,ZNFX1以劑量依賴的方式顯著增強了由VSV、2種類型的poly(I:C)或poly(dA:dT)觸發的Ifnb1啟動子激活(圖4b,c)。相反,敲除Znfx1可降低VSV誘導的293T細胞中Ifnb1報告基因和ISRE報告基因的激活(圖4d)。Ifnb1和ISGs的轉錄以劑量和時間依賴性的方式誘導(圖4e),當ZNFX1在A549細胞中過表達時隨著劑量和時間增強反之敲除ZNFX1則降低。而與野生型細胞相比,Znfx1-/-A549和MEF細胞中ISG蛋白表達量分別減少(圖4f)。VSV感染后Znfx1-/-巨噬細胞中TBK1和IRF3的磷酸化低于野生型巨噬細胞(圖4g)。在VSV感染的Znfx1-/-293T細胞中,IRF3的二聚化也低于野生型細胞(圖4h)。野生型A549細胞中觀察到了VSV的限制性復制,但在Ifnar1-/-A549細胞中未觀察到(圖4i)。所有這些數據表明,ZNFX1通過誘導I型IFN的產生而參與抗病毒免疫反應,其抗病毒特性也取決于IFN信號傳導。

圖4
5、ZNFX1直接結合病毒RNA
屬于RNA解旋酶SF2的許多基因被鑒定為結合病毒RNA的RNA病毒傳感器,因此假設屬于SF1的ZNFX1也可能作為RNA傳感器結合病毒RNA。為證實這一假設,首先在293T細胞中過表達ZNFX1,然后進行pulldown和qRT-PCR分析以確定ZNFX1與VSV-RNA的高結合能力(圖5a,b)。也檢測了內源性ZNFX1與A549細胞中的VSV,EMCV和仙臺病毒(SeV)RNA的結合能力(圖5c)。通過用抗內源性ZNFX1的抗體從免疫沉淀物中分離RNA來進行RNA免疫沉淀(RIP)測序分析,將ZNFX1相關的RNA比對到VSV基因組(圖5d),優先定位于約6,000-8,000 nt的VSV片段(圖5e)。值得注意的是,當與ZNFX1相關的RNA轉染到A549細胞中時,通過qRT-PCR和熒光素酶活性分析觀察到了Ifnb1的誘導轉錄和基于Ifnb1啟動子的報告基因的誘導表達(圖5f)。
為了進一步評估與ZNFX1結合的病毒RNA的性質,首先將核酸類似物連接的磁珠與經Flag標記的ZNFX1、RIG-I或MAVS過表達的293T細胞裂解液一起孵育,并進行了pulldown試驗以顯示ZNFX1和RIG-I蛋白與poly(I:C)結合,但不與poly(C)結合(圖5g)。cGAS而非ZNFX1結合單鏈和雙鏈DNA(ISD,一個45 bp的雙鏈DNA;圖5h)。競爭實驗顯示ZNFX1蛋白與HMW poly(I:C)優先結合,而不是與LMW poly(I:C)、poly(dA:dT)或5’pppdsRNA優先結合(圖5i)。為了找到ZNFX1的poly(I:C)結合位點,準備了ZNFX1的截短版本并進行了poly(I:C) pulldown實驗。結果表明,ZNFX1與poly(I:C)的結合需要ARM域和P環結構域,而不是ZF鋅指域(圖5j)。病毒感染后ZNFX1的寡聚化增強(圖5k,1)。因此,ZNFX1充當RNA病毒傳感器,它傾向于結合長RNA分子。

圖5
7、ZNFX1定位于線粒體并與MAVS相互作用
為了確定ZNFX1的亞細胞定位,將受VSV感染的細胞分為細胞質和細胞核部分,主要在細胞質中檢測到ZNFX1蛋白(圖6a)。以前有關含ARM域的蛋白ALEX3和ARM1的研究表明,這些蛋白是線粒體定位的。因此,通過免疫印跡分析確定ZNFX1是否也可以定位于該免疫相關細胞器上。結果顯示,從VSV感染的細胞中分離出的線粒體部分中ZNFX1蛋白量增加(圖6a)。共聚焦顯微鏡證實過表達的ZNFX1蛋白與線粒體共定位,病毒感染后觀察到ZNFX1斑點擴大(圖6b)。為了進一步探索ZNFX1的線粒體定位,進行了蛋白酶保護測定。如圖6c所示,當用不含Triton X-100的蛋白酶K處理線粒體時,MAVS和大多數ZNFX1蛋白被消化,表明ZNFX1是線粒體外膜蛋白。相反,細胞色素c氧化酶亞基IV(COX IV)是線粒體內膜蛋白,對蛋白酶K消化有抵抗力。進一步對線粒體進行堿提取,回收具有外周膜蛋白的上清液和具有完整膜蛋白的沉淀物,發現外膜整合蛋白MAVS主要在提取后的沉淀中回收,但在2個餾分中均觀察到了COX IV。ZNFX1在上清液中大量回收(圖6c),表明ZNFX1作為外周膜蛋白定位于線粒體,如先前報道中的SARM1和ALEX3。
為了進一步表征ZNFX1在感測病毒RNA時如何轉導抗病毒信號,檢查了ZNFX1與涉及IFN產生的配體(包括TRIF、MyD88,MAVS和STING)的相互作用。免疫共沉淀實驗表明,帶有HA標記的ZNFX1與帶有Flag標記的MAVS相關,但與TRIF、MyD88和STING無關(圖6d)。免疫沉淀(Co-IP)實驗進一步表明,ZNFX1和MAVS在A549細胞中形成天然復合物,并且病毒感染后ZNFX1表達上調而增強了它們的結合(圖6e-g)。共聚焦顯微鏡實驗還表明ZNFX1與MAVS共定位(圖6h)。使用一系列ZNFX1截短突變體進行進一步的免疫沉淀試驗表明,全長ZNFX1和含ARM的突變體,包括F3和F5,都可以與MAVS相互作用(圖6i)。與共免疫沉淀試驗一致,ZNFX1的全長和F3截短突變體過表達導致了Ifnb1和ISG的誘導表達以及受限制的VSV復制(圖6j)。此外,如果沒有跨膜(TM)域,ZNFX1不能與截短的MAVS相互作用(圖6k),ZNFX1的線粒體分布與其與MAVS的相互作用無關。

圖6
7、ZNFX1介導的信號獨立于RIG-1和MDA5
為了驗證ZNFX1在產生獨立于現有抗病毒傳感器RIG-1和MDA5的抗病毒免疫反應中的作用,首先進行了共免疫沉淀試驗,發現ZNFX1在靜止或受VSV感染的細胞中既不與RIG-1也不與MDA5相互作用,qRT-PCR分析結果表明Znfx1缺乏并不影響RIG-1、MDA5和MAVS介導的Ifnb1表達的誘導(圖7a)。此外,過表達的ZNFX1可以強烈誘導野生型和Mda5-/-細胞中Ifnb1和Ifit1的mRNA表達,在Rig-I-/-細胞中略有誘導,但在Mavs-/-細胞中則沒有效果(圖7b)。當分別用ZNFX1、RIG-1和MDA5過表達質粒轉染細胞時,Mda5-/-細胞中VSV和EMCV的病毒載量降低(圖7c)。同樣,FACS分析表明,VSV-eGFP感染的野生型、Mda5-/-和Rig-I-/-細胞中的GFP+細胞百分比降低(7d,e)。通過進行poly(I:C)處理與否的Rig-I-/-A549細胞RNA-seq,觀察到ZNFX1的過表達增強了poly(I:C)刺激下Rig-I-/-A549細胞中IFN和ISG的誘導(圖7f)。分別用ZNFX1或RIG-I過表達質粒轉染Znfx1和Rig-I雙敲除細胞(DKO)中VSV和poly(I:C)誘導的Ifnb1和Ifit1表達增強(圖7g,h)。此外,ZNFX1的siRNA敲低可以進一步增強Rig-I-/-細胞中VSV-eGFP的病毒載量(圖7i)。DKO細胞中VSVeGFP的病毒載量遠高于Rig-I-/-細胞中的病毒載量(圖7j)。所有這些結果表明ZNFX1無需依賴RLR(視黃酸誘導基因/RIG-1樣受體)即可發揮其抗病毒作用。

圖7
小結
總之,作者分析了先前發表的水皰性口炎病毒(VSV)感染的單核細胞衍生巨噬細胞(MDM)體外轉錄-多聚腺苷酸化位點測序(IVT-SAPAS)數據,確定ZNFX1(解旋酶SF1的成員)為ISG和線粒體定位的dsRNA傳感器。ZNFX1可以通過感測病毒RNA并與MAVS相互作用而在RNA病毒感染后立即啟動IFN和ISG表達,而無需依賴RLR(視黃酸誘導基因/RIG-1樣受體)。ZNFX1的鑒定不僅闡明了RNA解旋酶SF1在抗病毒免疫中的功能,而且為抗病毒治療提供了目標。

圖片文獻下載:
https://international.biocloud.net/zh/article/detail/31685995
(復制鏈接到瀏覽器或點擊閱讀原文獲取,如果沒有云平臺賬號需要先注冊一下)


京公網安備 11011302003368號